Çok Çeşitli Blog
3 Ocak 2011 Pazartesi
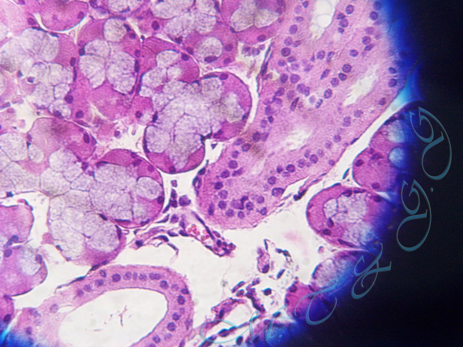
Histoloji Lab. Fotoğrafları / Epitel Doku / Bez Epiteli / Serö-Müköz Bez
Bulunduğu yer: Çenealtı tükürük bezi
İpucu: Giannuzi yarımayı
Hiç yorum yok:
Yorum Gönder
Sonraki Kayıt
Önceki Kayıt
Ana Sayfa
Kaydol:
Kayıt Yorumları (Atom)
Hiç yorum yok:
Yorum Gönder