Çok Çeşitli Blog
3 Ocak 2011 Pazartesi
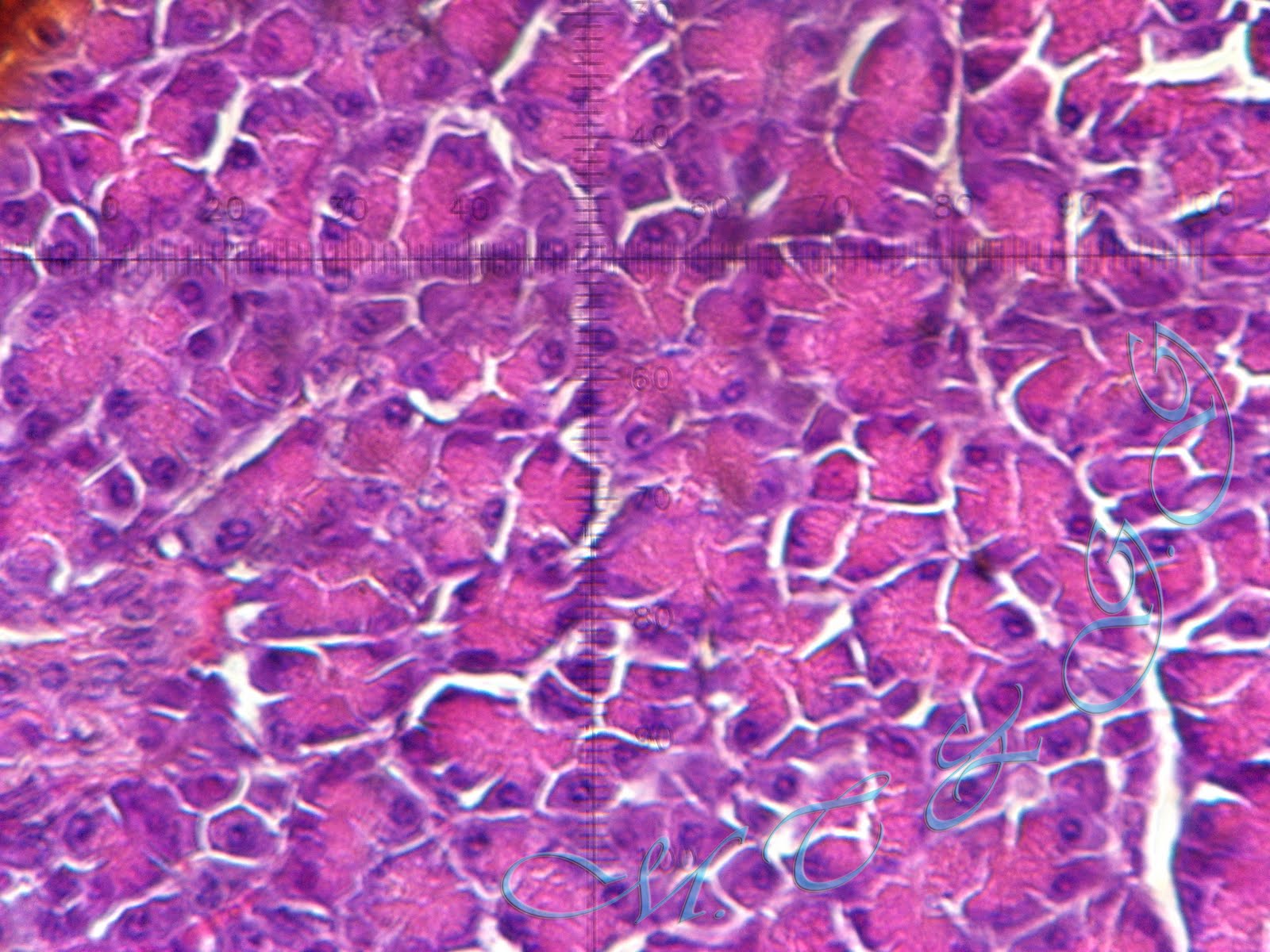
Histoloji Lab. Fotoğrafları / Epitel Doku / Bez Epiteli / Seröz Bez
Bulunduğu yer: Ebner bezleri, ağızdaki tükürük bezlerinin seröz kısmı, pankreas'ın dış salgı yapan kısmı
Hiç yorum yok:
Yorum Gönder
Sonraki Kayıt
Önceki Kayıt
Ana Sayfa
Kaydol:
Kayıt Yorumları (Atom)
Hiç yorum yok:
Yorum Gönder